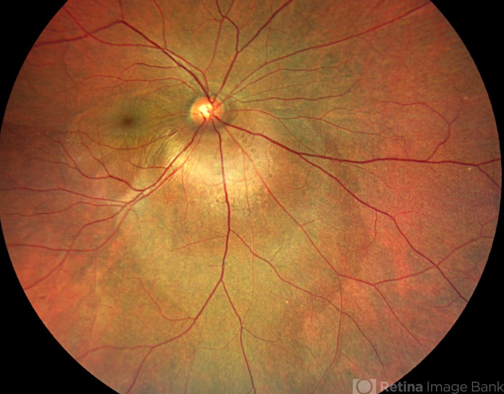
The choroid is the vascular layer of tissue between the retina and the sclera, or the white outer layer of the eye. Many types of both cancerous and non-cancerous lesions can form in the choroid.
What Are the Different Types of Choroidal Lesions?
Choroidal melanoma – These malignant tumors affect both men and women and are usually found in adults over the age of 55. Most cases are caught during routine exams as many people do not have any symptoms.
Choroidal nevi – Mostly benign, these lesions are somewhat common and tend to show up after puberty but may be present from birth.
Vascular lesions- Choroidal hemangiomas are abnormal collections of vessels than can lead to retinal detachments and accumulation of fluid underneath the retina
Who is at Risk for Choroidal Lesions?
Those at greater risk for developing choroidal lesions include the individuals with the following characteristics:
Fair skin and light-colored eyes
A family history of choroidal lesions or genetic predisposition
Having a lot of moles or freckles
Being over the age of 60
What Are the Symptoms of Choroidal Lesions?
Unfortunately, most choroidal lesions do not present with any symptoms, and most are discovered during routine eye exams. In rare cases, when the lesion forms in the center of the eye, patients may experience blurry or distorted vision.
Choroidal Lesions locations
Schedule an appointment
Start your search. Search by provider.
Distance
OR
Estimated drive time
Please choose your preferred provider: *
Please complete the following to request your appointment:
Note: Self-scheduling is currently available for select locations. More locations will be available soon.
Loading...
Please complete the following to request your appointment:
Note: Self-scheduling is currently available for select locations. More locations will be available soon.
Loading...
Please complete the following to request your appointment:
Note: Self-scheduling is currently available for select locations. More locations will be available soon.
Loading...
Self-scheduling is not currently available for this provider, please complete form below and a member of the OCLI Vision team will contact you to schedule your appointment.
The practices of OCLI Vision offer eye care services at locations throughout Connecticut, New Jersey, New York, Pennsylvania and West Virginia and specialize in primary vision care, LASIK, cataract surgery, glaucoma, diabetic eye care, and other services for patients in the Northeast.
These locations include practice locations of OCLI Vision as well as the practice locations of other vision services providers and ambulatory surgery centers supported by the administrative services of Spectrum Vision Partners. Each location is identified by the vision service provider or company operating at the location.