What is MacTel Type 2?
Macular telangiectasia type 2, or MacTel, is a rare, neurodegenerative eye condition that causes progressive loss of central vision. Type 2 affects both eyes, causing the degradation of the macula through the loss of Müller cells. These cells are responsible for detecting light at the back of the eye, allowing us to see fine details and color.
Until recently, there was no cure for the condition, with most patients receiving a diagnosis after age 40. Encelto represents a milestone, the first-time surgeons at OCLI vision can offer a disease-modifying therapy for MacTel, rather than just supportive care or watchful waiting.
Who is most at risk for developing the condition?
MacTel type 2 is thought to be a genetic condition, but the precise genes have not yet been identified. However, the condition is more common in patients with other systemic conditions, such as obesity, hypertension, cardio-vascular diseases, and diabetes.
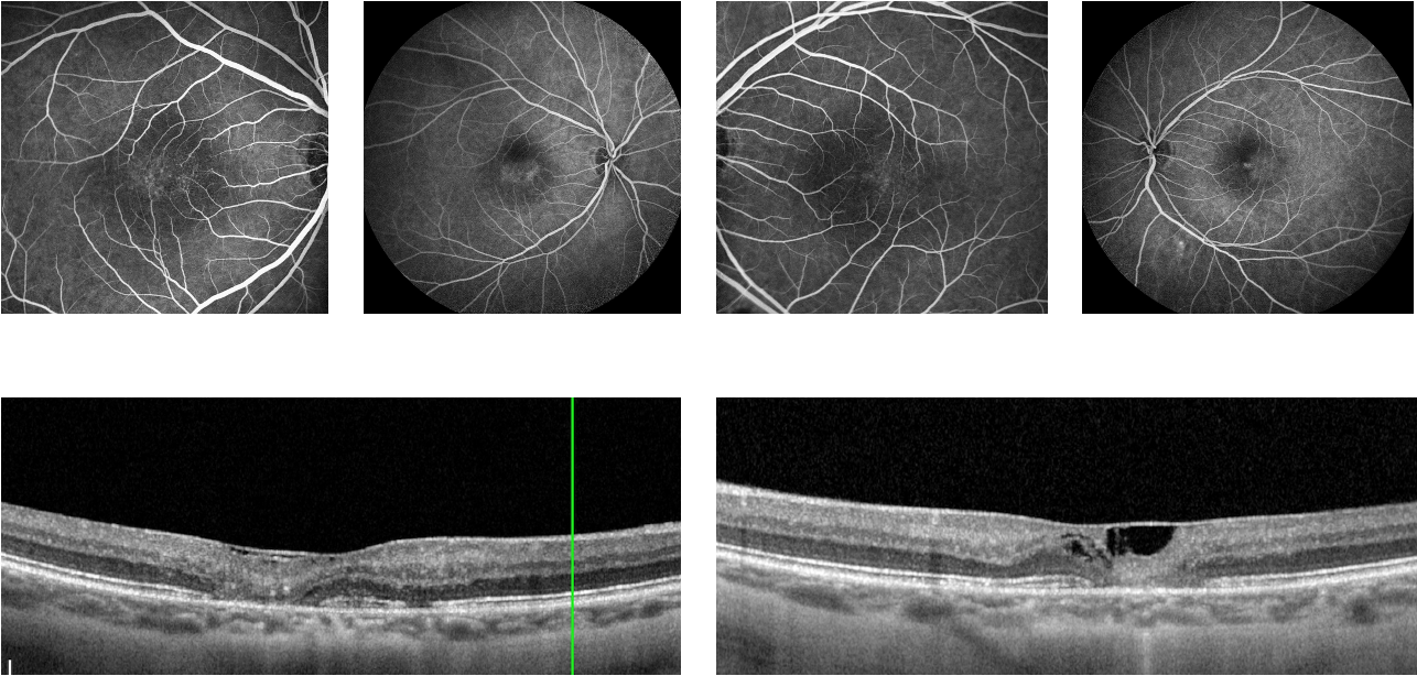
What are the symptoms of MacTel Type 2?
The condition is usually diagnosed during comprehensive eye exams using advanced diagnostic tools. In the early stages, MacTel Type 2 does not often show signs or symptoms. As it progresses, patients may experience blurred or distorted central vision, leading to problems with reading, driving, or working. However, the peripheral vision usually remains unchanged.
What treatment is available for MacTel Type 2 from OCLI Vision?
At OCLI Vision, we are proud to offer ENCELTO™, a groundbreaking treatment for Macular Telangiectasia (MacTel) that represents a major advancement in retinal care. ENCELTO is the first and only FDA-approved treatment for MacTel, and Dr. Deepika Malik at OCLI Vision recently performed the first ENCELTO procedure in the Northeast U.S, making it the second commercial implantation worldwide.
“Completing this first procedure in the Northeast is an extraordinary milestone for our patients and our team,” said Dr. Malik, who performed the ENCELTO treatment at OCLI Vision. “This is a meaningful step toward transforming care for individuals living with MacTel. This novel therapy brings hope and optimism—not only for MacTel but as a model for future neurodegenerative eye disease.”
OCLI Vision is thrilled to offer ENCELTO treatment. Schedule a consultation with the team today.
What is ENCELTO treatment?
ENCELTO is an encapsulated cell-based gene therapy for MacTel. It is a small capsule that is implanted into the eye and releases targeted therapy over time to the retina. The capsule slowly releases ciliary neurotrophic factor (CNTF) which has been shown to maintain photoreceptor health in the retina, preserving vision in those with MacTel.
How is ENCELTO different from past treatment approaches for MacTel type 2?
ENCELTO was approved by the FDA on March 6, 2025, and is the first treatment available for MacTel.
Which patients are good candidates for ENCELTO?
The best candidates for ENCELTO are patients:
- Diagnosed with idiopathic macular telangiectasia type 2
- Between the ages of 21-80
- Best corrected visual acuity of 20/80 or better in the affected eye
- OCT findings of out retinal cavitation and an area of ellipsoid zone loss
How Will ENCELTO Impact Patients’ Daily Lives?
Encelto’s core benefit is a marked slowdown in loss of photoreceptors in the retina, which means that decline in central vision is slowed. Central vision is essential for reading, facial recognition, and other detail-oriented tasks of daily life, so maintaining this function longer can help patients remain independent and maintain quality of life. In trials, Encelto reduced disease progression rates by up to 54.8% compared to sham procedures over 24 months, suggesting meaningful preservation of vision.
Why Choose OCLI Vision for ENCELTO Treatment?
At OCLI Vision, we are committed to making advanced treatments available to those that need them most. Our ENCELTO treatment program highlights our commitment to enhancing our expertise in conditions impacting the retina and delivering comprehensive care to our patients. Our retinal specialists are nationally renowned and have extensive experience with the most challenging conditions.

